当院は、まぶた、眼窩、涙道に特化した眼形成手術の専門施設です。豊富な経験と専門的な知識をもとに、一人ひとりのお悩みに寄り添い、最適な治療をご提案いたします。
他院で修正することが難しいと判断された方でも、今まで来院されたほとんどの方が治療が可能ですので、まずは一度ご相談いただけたらと思います。
バセドウ病・甲状腺眼症の大きな問題点は、
点滴や内服の治療を受けて安定期に入っても、風邪のように治ったら元通りではなく、
以前とは全く異なる
見た目・容姿になってしまうことです。
目次
当院は、まぶた、眼窩、涙道に特化した眼形成手術の専門施設です。豊富な経験と専門的な知識をもとに、一人ひとりのお悩みに寄り添い、最適な治療をご提案いたします。
他院で修正することが難しいと判断された方でも、今まで来院されたほとんどの方が治療が可能ですので、まずは一度ご相談いただけたらと思います。
年間1万2,000件以上の眼形成手術実績をもつ眼形成手術専門医・鹿嶋友敬医師の書籍『甲状腺眼症 ~私が自分の目を取り戻すまで』が、1月21日よりAmazonにてPOD(プリント・オン・デマンド)版および電子書籍で発売開始となりました。
本書は、甲状腺眼症をテーマにまとめられた一冊で、Amazonにてご購入いただけます。

こちらの女性は、バセドウ病眼症の発症から、
・ステロイドパルス
・眼窩(がんか)減圧
・追加脂肪切除
・斜視手術(他院にて)
主に上記の治療を行いました。
治療前後を比較すると非常にキレイになり、顔つきが全然違うことが分かるかと思います。
手術をすることで治療前後の差は一目瞭然で、発症前の美しい顔立ちに戻ることができました。
バセドウ病眼症は美人病と呼ばれていたこともあるようですが、こちらの症例を見ると「発症すると美人になる」は見当違いなことが分かります。
| 主訴 | バセドウ病眼症 |
|---|---|
| 治療費 | 鹿嶋理事長指名:¥1,650,000 山名先生指名:¥880,000 指名なし(モニター必須):¥440,000 脂肪移植:+¥220,000 |
| 治療内容 | 眼窩(がんか)減圧、ステロイドパルス、追加脂肪切除、斜視手術(他院にて) |
| 治療のリスク | 術前に複視が無い場合、手術後には眼球運動障害が出現し2重に見えます。翌日にはほとんど消失していることが多いですが、残存することもあります。 |
バセドウ病・甲状腺眼症の大きな問題点は、点滴や内服の治療を受けて安定期に入っても、風邪のように治ったら元通りではなく、以前とは全く異なる見た目・容姿になってしまうことです。
特に見た目の変化が起こるのは、その多くが若い女性であるということが問題です。英語ではこの醜い眼球突出をDisfiguring Proptosis(眼球突出による醜形)と呼んでいます。
「内科的な数値が安定すれば眼球突出も治る」などと間違ったことを言われていることもありますが、一度突出したら元には戻りません。
多くの方々がこのような状態に対して苦しんでいますが、バセドウ病・甲状腺眼症に対する手術治療を行っている施設は全国にもほんの数か所程度しかありません。
かつ眼科の中では、かなり大掛かりな手術になるため、数週間の入院を必要としている施設もあります。そのような理由から、比較的軽度の眼球突出に対する手術を行っている施設はほとんどありません。
このような方々に対して、我々は専門的な知識・経験をもとに出来る限り整容的な観点を重視した手術を行っています。
他院で手術の適応がないと断られた方々でも我々の施設で手術を行う方は多くおられます。
また治療が出来ないとあきらめていたため発症から長い時間、何十年も経過していた方も手術を受けに来られます。是非一度ご相談だけでも頂けたらと思います。

吉田貴子先生は、31才でバセドウ病を発症、合併症として甲状腺眼症を発症され、約16年間苦しまれていました。
そこで2020年9月、当院で甲状腺眼症の手術を行い、無事に成功しました。その際のブログ記事がございますので、是非ご一読ください。
ブログはこちらから渋谷スキンクリニックは、皮膚科学と美容皮膚科学、そしてメディカル・エステを融合させた、トータルスキンケアのためのクリニックです。皮膚トラブルから、ホームケアまで幅広く対応されています。
渋谷スキンクリニックHPバセドウ病眼症ってどんな病気??
バセドウ病眼症を医師が解説!
バセドウ病眼症の活動性の評価・
活動期と非活動期について
~バセドウ病眼症を医師が解説!
バセドウ病眼症の活動期の治療
ステロイド投与方法について~
バセドウ病眼症を医師が解説!
バセドウ病眼症の自己抗体・
TRAb/TSAbについて
~バセドウ病眼症を医師が解説!
バセドウ病・甲状腺眼症 説明ビデオ
眼窩減圧術治療動画
副腎皮質ステロイド・放射線治療などの内科的治療で治らなかった場合に、手術が必要となります。
下記にそれぞれ手術方法を3つ説明します。
眼窩減圧術は球後の組織を切除する手術ですが、切除する部位によって術式が分けられます。
眼球と筋肉は切除出来ませんから、切除出来るのは増えてしまった脂肪と骨です。
骨は上下内外の4つに分けられます。
このうち上は脳に近く、減圧の効果も少ないので通常は行いません。内壁・下壁・外壁の3か所になります。
脂肪については眼球や筋肉、神経などの周囲に散在しています。
このうち眼窩脂肪の切除と眼窩外壁の切除では、新規複視の発生率が約3%とされていますが、内壁や下壁については10-50%とされ、新規複視の発生率が高いということが知られています。
内壁や下壁の骨は薄いので切除することが容易ではありますが、その分複視の発生率が高いため日常生活に支障が出る危険性が高いのです。
また下壁には頬の知覚神経が通っているため頬の知覚鈍麻を起こす可能性が高いのです。
一方で眼窩外壁や眼窩脂肪切除は新規複視の発生率は低いのですが、脳や眼の重要な神経や血管に近いため、 切除するのに特殊な知識と経験が必要であり、熟練した術者しか行うことが出来ないという現実があります。

主に眼窩脂肪を切除する術式や、外壁を削る術式を第一選択とし、 複視の頻発する下壁・内壁の除去を避けることで複視の発生率を下げるよう努力をしています。
また、これらの手術を行う際に、まぶたの裏の結膜や皮膚のシワの中を切開するため、傷跡はほとんど残りません。
さらに手術回数が少なくなるよう、両眼同時手術を行っています。
近隣の自治体の方であれば当日帰宅も可能ですが、 遠方の場合には術後近隣のホテルへの宿泊をおすすめしています。

オレンジが眼窩内壁・黄色が眼窩下壁である。

青が眼窩外壁、紫が眼窩上壁である。
緑は蝶形骨大翼で、外壁の切除の場合ここまで切除することが多い。

下眼瞼結膜からの手術の場合には下眼瞼を中心として内出血が出ます。
内出血は約3週間で治癒します。
まぶたの腫れは目立ちません。
バセドウ病眼症では、眼球を動かす筋肉が肥大して固まってしまうため、2つの眼球が違う方向を向くことがあります。
斜視手術は眼を動かす筋肉を動かすことによって、2つの眼球の向く方向を同じにすることが出来ます。 当院で手術は行わず、専門家の病院を紹介させて頂くことが多いです。
上記の眼窩減圧術もしくは斜視手術のあとで選択されます。
バセドウ病眼症では上眼瞼が吊り上がる、眼瞼後退という状態になっていることがあり、最後にこの手術を行います。 状態によっては上眼瞼のみならず下眼瞼にも行うことがあります。
また眼瞼に増えた脂肪を切除することもあります。 眼球突出に伴って逆さまつ毛を発症する場合もありますので、その手術を行うこともあります。


| 主訴 | バセドウ病眼症 |
|---|---|
| 治療費 | 鹿嶋理事長指名:¥1,650,000 菊地先生、山名先生指名:¥880,000 指名なし(モニター必須):¥440,000 脂肪移植:+¥220,000 |
| 治療内容 | 眼窩減圧術 |
| 治療のリスク | 術前に複視が無い場合、手術後には眼球運動障害が出現し2重に見えます。翌日にはほとんど消失していることが多いですが、残存することもあります。 |

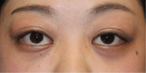
こちらは発症前の写真です。
顔貌の変化と左右差のある眼球突出を主訴に来院されました。




発症前の顔貌から、術前の顔貌へ大きく変化してしまっていることが分かります。右目の見開きが大きく、上下の白目の露出が非常に大きくなっています。それに伴い左右差のある顔貌となっています。
眼窩減圧を行って術後には顔貌がかなり改善しているのがわかります。さらに減圧をすることも出来たのですが、大きな改善が得られ満足されましたのでこれで終了となりました。
| 主訴 | バセドウ病眼症 |
|---|---|
| 治療費 | 鹿嶋理事長指名:¥1,650,000 山名先生指名:¥880,000 指名なし(モニター必須):¥440,000 脂肪移植:+¥220,000 |
| 治療内容 | 眼窩減圧術 |
| 治療のリスク | 術前に複視が無い場合、手術後には眼球運動障害が出現し2重に見えます。翌日にはほとんど消失していることが多いですが、残存することもあります。 |
両側の眼球突出と左上眼瞼の眼瞼後退があり来院されました。




この症例でも左眼の眼球突出が強く、上下の白目が露出している状態です。突出の左右差のため、顔貌の左右差が非常に強く出てしまっています。
この状態に対して眼窩減圧手術を行い、その後眼瞼後退の手術を行いました。術後には眼球突出が改善し見開いたような表情が改善し、柔和な表情になっています。
| 主訴 | 両側の眼球突出と左上眼瞼の眼瞼後退があり |
|---|---|
| 治療費 | 鹿嶋理事長指名:¥1,650,000 山名先生指名:¥880,000 指名なし(モニター必須):¥440,000 脂肪移植:+¥220,000 |
| 治療内容 | 眼窩減圧術 |
| 治療のリスク | 術前に複視が無い場合、手術後には眼球運動障害が出現し2重に見えます。翌日にはほとんど消失していることが多いですが、残存することもあります。 |

こちらは発症前の写真です。
顔貌の変化と左右差のある眼球突出を主訴に来院されました。




眼窩減圧手術により美しい顔つきになっていることが分かります。体的には上のまぶたの腫れぼったさが無くなり、二重瞼のラインが深くなっています。
眼窩減圧術を行いました。




バセドウ病眼症により術前にあった上下のまぶたの腫れが、 術後には無くなってスッキリした状態になっているのが分かります。 眼球突出が軽減するとドライアイ症状(充血する、ごろごろする、涙目になるなど)も改善します。
| 主訴 | バセドウ病眼症 |
|---|---|
| 治療費 | 鹿嶋理事長指名:¥1,650,000 山名先生指名:¥880,000 指名なし(モニター必須):¥440,000 脂肪移植:+¥220,000 |
| 治療内容 | 眼窩減圧術 |
| 治療のリスク | 術前に複視が無い場合、手術後には眼球運動障害が出現し2重に見えます。翌日にはほとんど消失していることが多いですが、残存することもあります。 |
当院では、眼窩減圧術を行った際に切除した眼窩脂肪をクマの部分に移植することによって、目の下のクマをほぼ完璧に取り除くということを行っています。
甲状腺眼症では目を見開いたような状態になることがあり、これを眼瞼後退と言います。眼瞼後退は主として上まぶたに出現しますが、下まぶたに発症する方もいます。
これも眼窩減圧で少し改善するのですが、脂肪移植を行うことでさらに改善することが可能です。
「甲状腺眼症による目のクマ・
たるみの手術」を詳しく見る

眼窩減圧術はバセドウ病ではない原因による眼球突出に対しても行うことが出来ます。
眼球突出により醜形をきたしていたり、兎眼やドライアイになっていたりする場合には手術適応があると考えます。
こちらの方は右眼窩髄膜腫により眼球突出をきたしていました。兎眼やドライアイになっていたりする場合には手術適応があると考えます。


| 主訴 | 右眼窩髄膜腫により眼球突出をきたしていました |
|---|---|
| 治療費 | 鹿嶋理事長指名:¥1,650,000 山名先生指名:¥880,000 指名なし(モニター必須):¥440,000 脂肪移植:+¥220,000 |
| 治療内容 | 眼窩減圧術 |
| 治療のリスク | 術前に複視が無い場合、手術後には眼球運動障害が出現し2重に見えます。翌日にはほとんど消失していることが多いですが、残存することもあります。 |
A大学病院の美容外科で皮膚からの脂肪移動術(ハムラ法)したものの改善なく 有名なB美容外科で結膜から脂肪切除、さらに皮膚切開からの脂肪切除、 再度結膜からの脂肪切除、と計4回美容外科での手術を施行された方です。
最後にB美容外科で行った手術では瘢痕のため ほんのわずかな量の脂肪(小豆大と言われたそうです)しか切除できなかったとのことでした。 どうにか改善したいと悩まれて受診しました。
この症例の場合、表面の脂肪だけが問題なのではなく、その奥の脂肪も問題なのです。 このためバセドウの方の減圧に準じて眼窩深部の脂肪減圧手術を行いました。




減圧術を行うことで、上眼瞼のふくらみが改善し二重瞼が深くなっていることがわかるかと思います。
このように他院で失敗した、やり直したいなどのケースにも対応できますので、お困りのことがございましたらまずはご相談へいらしてください。
| 主訴 | 下眼瞼だけでなく上眼瞼の膨らみも気になる |
|---|---|
| 治療費 | 鹿嶋理事長指名:¥1,650,000 山名先生指名:¥880,000 指名なし(モニター必須):¥440,000 脂肪移植:+¥220,000 |
| 治療内容 | 脂肪減圧手術 |
| 治療のリスク | 術前に複視が無い場合、手術後には眼球運動障害が出現し2重に見えます。翌日にはほとんど消失していることが多いですが、残存することもあります。 |
| 片眼 | 両眼 | |
| 眼窩(がんか)減圧術 | ー | 鹿嶋理事長指名:¥1,650,000 山名先生指名:¥880,000 指名なし(モニター必須):¥440,000 脂肪移植:+¥220,000 |
上記の金額はすべて税込表示です。
オペ実施の場合、手術代金から自費診察料を差し引きます。
この説明書は、甲状腺眼症への眼窩減圧の手術について説明したものです。
わからないことがありましたら、担当医にお尋ねください。
治療を受けられる場合は、下記に「同意書PDF」を用意しておりますので、
一度目を通していただき署名をお願いいたします。
「治療費」を詳しく見る
「ドクター紹介」を詳しく見る
「アクセス・医院情報」を詳しく見る
「診療案内」を詳しく見る
患者さんへのご挨拶
これまで10年以上にわたり日米通算1万件以上の手術を行って参りました。 今までに私が培ってきた最先端医療の知識や経験を日本でお困りの患者さんの為に提供していきたいと思っています。
| 2002年 | 群馬大医学部卒 群馬大学 眼科学教室 |
|---|---|
| 2004年 | 伊勢崎市民病院 |
| 2005年 | 群馬大眼科 |
| 2007年-09年 | 聖隷浜松病院 眼形成眼窩外科へ国内留学 |
| 2009年 | 群馬大にて眼形成外来を開設 |
| 2012年 | 学位取得 群馬大学眼科 助教 |
| 2010年-18年 | アジア太平洋眼形成学会理事 |
| 2015年-16年 | カリフォルニア大学 ロサンゼルス校へ留学 |
| 2017年 | 新前橋かしま眼科形成外科 クリニック 開院 |
| 2018年 | オキュロフェイシャルクリニック 東京 開院 |
| 2019年 | The NewYork Times特別企画「Next Era Leaders 2019」選出 |
| 2020年 | アメリカ眼形成学会(ASOPRS)会員 |
| 2009年 | Singapore National Eye Center |
|---|---|
| 2010年 | アジア太平洋眼形成外科学会 北京 Invited Speaker |
| 2011年 | ヨーロッパ眼形成学会 コモ(イタリア) |
| 2012年 |
世界眼科会議 アブダビ Invited Speaker Asia ARVO シンガポール Invited Speaker APAO 釜山 Invited Speaker アメリカ眼科学会 シカゴ Invited Speaker |
| 2013年 | APAO ハイデラバード Invited Speaker アメリカ小児眼科学会 シンガポール Invited Speaker ヨーロッパ眼形成学会 バルセロナ |
| 2014年 | 世界眼科会議 東京 Invited Speaker アジア太平洋眼形成外科学会 デリー アメリカ眼形成学会 シカゴ |
| 2015年 | APAO 広州 Invited Speaker |
| 2016年 | KSAS(Korea Society of Aesthetic Surgery) meeting in Seoul ITEDS(International Thyroid Eye Disease) meeting in London APSOPRS & JSOPRS joint meeting session chair iseminer 甲状腺眼症の手術治療など講演多数。 |
| 2017年 | アメリカ眼科アカデミーinstructor、 韓国眼形成学会invited speaker、 中国眼形成学会invited speaker |
| 2018年 | アジア太平洋国際学会APAO invited speaker |
| 2019年 | アジア太平洋国際学会APAO invited speaker、 ITEDS invited speaker、 OPAIC invited speaker |
| 2021年 | アジア太平洋眼形成学会 invited speaker |
| 2022年 | アジア太平洋国際学会APAO、 ヨーロッパ眼形成学会、 米国眼形成学会 |
| 2023年 | アジア太平洋国際学会APAO、 ヨーロッパ眼形成学会、 米国眼形成学会、タイ眼形成学会、 UCLA解剖実習コース、 ポルトガル解剖実習コース |
外眼部の周術期のケアに
メオアイス
名古屋眼鏡 まぶたやその周囲の手術のあとの”腫れ”や”痛み”を防止する目的で作られた医療用商品です。
責任編集者
超アトラス 眼瞼手術
全日本病院出版 眼科と形成外科のコラボレーションを目指す、意欲的なアトラスが登場! オールカラーの連続写真、詳細なシェーマでわかりやすく解説されています。
責任編集者
ここからスタート! 眼形成手術の基本手技
全日本病院出版 眼形成外科を目指すドクターへの入門書。手術の道具や手技を詳細に解説しています。
甲状腺眼症 ~私が自分の目を取り戻すまで〜
本書はバセドウ病を発症した女性が、治療法に出会い、本来の自分の目と人生を取り戻すまでの軌跡を描いた実話ベースの物語です。病気による見た目の変化に悩む人に「諦めなくていい」「治す選択肢がある」と力強く伝える一冊となっています。
当院は、まぶた、眼窩、涙道に特化した眼形成手術の専門施設です。豊富な経験と専門的な知識をもとに、一人ひとりのお悩みに寄り添い、最適な治療をご提案いたします。
他院で修正することが難しいと判断された方でも、今まで来院されたほとんどの方が治療が可能ですので、まずは一度ご相談いただけたらと思います。
オキュロフェイシャルクリニックグループは、
東京、大阪、京都、千葉、新前橋の5つのクリニックを日本全国に展開する、眼形成外科の専門クリニックです。
私たちは、年間1万件以上の眼形成手術実績を持ち、日本全国No.1の治療実績を誇ります。
各クリニックでは、眼形成外科医が手術を担当し、
他の美容外科では得られない高度な技術と専門性を提供しています。
眼瞼下垂、目の下のたるみやクマ取り、ハムラ法、なみだ目治療、バセドウ病眼症、眼球突出、他院修正手術など、眼と目元に関するあらゆる悩みに対応します。
私たちの眼形成外科医は、自然で美しい仕上がりをお約束し、患者様の満足を第一に考えています。
オキュロフェイシャルクリニックグループでは、
最新の技術と豊富な経験を持つ専門医が皆様をお迎えし、安心して治療を受けていただける環境を整えています。
各クリニックは、それぞれの地域で皆様に質の高い医療を提供することを目指し、日々努力しています。
どうぞ、お近くのクリニックにご相談ください。
オキュロフェイシャルクリニックグループでは、皆さまが「いくつになっても、美しくありたい」という想いを叶えられるよう、一人ひとりに最適な治療を提供しています。また、痛みや不安を取り除くことを第一に考えた治療を行なっておりますので、悩まれている方がいらっしゃったら是非お気軽にご相談ください。
| 診療時間 | 月 | 火 | 水 | 木 | 金 | 土 | 日 |
|---|---|---|---|---|---|---|---|
| 8:15〜17:00 | - | ◯ | ◯ | ◯ | ◯ | ◯ | - |
[休診日]月曜・日曜・祝日
※当院の診療は完全予約制になります。