当院は、まぶた、眼窩、涙道に特化した眼形成手術の専門施設です。豊富な経験と専門的な知識をもとに、一人ひとりのお悩みに寄り添い、最適な治療をご提案いたします。
他院で修正することが難しいと判断された方でも、今まで来院されたほとんどの方が治療が可能ですので、まずは一度ご相談いただけたらと思います。
眼瞼下垂が起きる原因には大きく2種類あり、
「皮膚のたるみによる眼瞼下垂」と
「筋肉の弱りによる眼瞼下垂」です。
重要なポイントはそれぞれの原因に
応じた手術を行うことです。
目次
当院は、まぶた、眼窩、涙道に特化した眼形成手術の専門施設です。豊富な経験と専門的な知識をもとに、一人ひとりのお悩みに寄り添い、最適な治療をご提案いたします。
他院で修正することが難しいと判断された方でも、今まで来院されたほとんどの方が治療が可能ですので、まずは一度ご相談いただけたらと思います。
患者さんへのご挨拶
群馬大学医学部を2002年に卒業後、群馬大学の眼科に入局、伊勢崎市民病院、佐久総合病院、大和病院など様々な病院で働いてきました。2009年から群馬大学眼科に眼形成外来を開設して以来、14年に渡って群馬県内の様々な病気の患者さんを治してきました。
今までに経験した症例数は県内で随一です。銀座にも分院を出し、たくさんの美容外科で失敗された方々の修正手術も行ってきました。
それらの経験を元に、群馬県の方々に痛みのない仕上がりの良い全国的にもベストな医療を提供したいと思っています。どうぞお気軽にご相談いただけましたら幸いです。
新前橋かしま眼科形成外科クニリック
理事長 鹿嶋友敬
僕はもともと眼科医です。眼科医になってから眼形成を学び、世界最高の水準にまで高めてきました。
当院所属ドクターも
ほとんどはもともと眼科医です。
美容外科では「出来るだけ目をパッチリさせる」ことが正義ですが、
僕ら眼科医の目標は「出来るだけ自然で機能的なまぶたを作る」ことが正義です。
それは形状だけでなく、自然なまばたきが出来なければ、目が傷ついてしまうこともあるからです。
この世に授かった形状や機能を妨げることなく、デザインすることを心掛けています。
「眼瞼下垂とは?」を詳しく見る
上まぶたが垂れてきて目を覆うようになってしまった状態を眼瞼下垂(たれマブタ)と言います。この状態になると、上記のような症状が出現します。
「眼瞼下垂の
セルフチェックリストと
なりやすい人の特徴」を詳しく見る
「眼瞼下垂になると、
どんな症状が起こるの?」を詳しく見る
「眼瞼下垂について
よくある質問」を詳しく見る
当院には、他院で治らない治せないと言われた方々がたくさんいらっしゃるのですが、他院で眼瞼下垂手術を行い、思いどおりの結果にならなかった方も数多く来院されます。
他院で修正することが難しいと判断された方でも、今まで来院されたほとんどの方が治療が可能ですので、まずは一度ご相談いただけたらと思います。
「眼瞼下垂手術後の
修正手術」を詳しく見る
たれマブタ(眼瞼下垂)の原因は、大きく分けて2つの種類があります。
まず最初に皮膚のたるみによるものが挙げられます。これは、年齢とともに徐々に皮膚が伸び、たるんでしまったものです。
もともと一重まぶたであった方に起こりやすく、おでこに深いシワが目立ち目の形が八の字になってイラストのような表情になります。これを皮膚のたれマブタと言います。
一方で、まぶたを上げる筋肉が弱くなってしまうタイプのたれマブタ(眼瞼下垂)もあります。年齢とともに筋肉が伸びてしまい、それを補おうと眉毛が上がってしまいます。
ハードコンタクトレンズを装用している方、過去に装用していた方がなりやすいです。これを筋肉のたれマブタと言います。
「生まれつきの
眼瞼下垂
(先天性眼瞼下垂)」を詳しく見る
「眼瞼下垂の原因と治療法とは?」を詳しく見る
治療はそれぞれの原因に応じた手術を行うことです。
「眼瞼下垂の原因と治療法とは?」を詳しく見る
「眼瞼下垂手術は何時間かかる?
ダウンタイムはある?」を詳しく見る
「眼瞼下垂手術後の
修正手術」を詳しく見る
「眼瞼下垂の手術は
痛くない?」を詳しく見る
「眼瞼下垂の手術前後の変化は
どのくらいありますか?」を詳しく見る
皮膚のたれマブタでは、余った皮膚を取り除くことと、二重まぶたを作ることが目的です。
まぶたの皮膚をまつ毛の上5〜6mm程度の位置で切開し、余っている皮膚を切除します。
その後、二重まぶたを作製し皮膚を縫合します。同時に脂肪を切除する場合があります。
この方法のメリットは皮膚を切除し二重まぶたを作り直すことが出来ることです。もともと一重まぶたや奥二重まぶたの方は作り直した方が綺麗に仕上がります。
それから、皮膚の切除には眉毛の下を切開して皮膚を切除する方法もあります(眉毛下皮膚切除)。眼瞼の皮膚が分厚いため、まつ毛の上で切開すると二重まぶたも分厚くなってしまい不自然になることが予測できる方は、眉毛下皮膚切除が望ましいです。
この方法では自分の二重まぶたが露出されるので、皮膚がたるむ10年くらい前のご自身の自然な目の印象になります。眉毛下皮膚切除ではキズが体表にあるため、デザインに加え切開・縫合の技術という基本中の基本の力量が最重要視されます。力量が無ければ、キズが目立ってしまうためです。当院ではキズを目立たないように最大限の注意を払っています。
切って縫うだけの単純な術式ですが、デザインや縫い方にコツがあります。 年齢によって徐々にたるみが増えるため、高齢になるほど目の横幅を大きく超えて目じりの皮膚まで切除しないと、逆に術後に目じりのしわが増えたように感じてしまうことがあるのです。
手術直後には腫れがかなり強く出ますが、2週間で8割程度の腫れが引きます。残りの腫れは6か月くらいかけて徐々に引いていきます。
「眼瞼下垂の手術前後の変化は
どのくらいありますか?」を詳しく見る


| 術前 | 皮膚のたれマブタにより目の形状が「ハの字」のようになってしまっている。目つきも暗く見られてしまう。 |
|---|---|
| 術後 | 皮膚のたるみが取れ、二重まぶたになっています。目に光が入るようになったため、目つきが改善したのがわかります。 |
| 主訴 | 皮膚のたれマブタにより目の形状が「ハの字」のようになってしまっている。目つきも暗く見られてしまう。 |
|---|---|
| 治療費 | 鹿嶋理事長指名:¥770,000 菊地先生、山名先生指名:¥550,000 指名なし:¥330,000 |
| 治療内容 | 眼瞼下垂手術 |
| 治療のリスク | 術後徐々に傷痕は目立たなくなりますが傷痕が目立ったり、ケロイドになったりすることがあります。 |


| 術前 | 若い人にも皮膚のたれマブタは起こります。 生まれつきの一重まぶたであると皮膚がたるんで目に被さってしまいます。目つきも悪く感じてしまいます。 |
|---|---|
| 術後 | 黒目が大きく露出するようになり、楽に目を開くことが出来るようになりました。目つきも良くなったのがわかると思います。 |
| 主訴 | 生まれつきの一重まぶたであると皮膚がたるんで目に被さってしまいます。目つきも悪く感じてしまいます。 |
|---|---|
| 治療費 | 鹿嶋理事長指名:¥770,000 菊地先生、山名先生指名:¥550,000 指名なし:¥330,000 |
| 治療内容 | 眼瞼下垂手術 |
| 治療のリスク | 術後徐々に傷痕は目立たなくなりますが傷痕が目立ったり、ケロイドになったりすることがあります。 |


| 術前 | 皮膚のたれマブタにより、眉毛が上がり、おでこにシワが出来てしまっています。 |
|---|---|
| 術後 | 皮膚を切除し二重まぶたを作成しました。眉毛が下がり、まぶたの皮膚の面積がかなり減っているのがわかります。 おでこのシワが消え、表情が良くなっています。まだ術後2週間ですので少し腫れや赤みが残っています。 |
| 主訴 | 皮膚のたれマブタにより、眉毛が上がり、おでこにシワが出来てしまっています。 |
|---|---|
| 治療費 | 鹿嶋理事長指名:¥770,000 菊地先生、山名先生指名:¥550,000 指名なし:¥330,000 |
| 治療内容 | 眼瞼下垂手術 |
| 治療のリスク | 術後徐々に傷痕は目立たなくなりますが傷痕が目立ったり、ケロイドになったりすることがあります。 |


| 術前 | 皮膚のたれマブタがあり、黒目が小さくなっています。まぶたが脂肪によって膨れています。 |
|---|---|
| 術後 | まぶたの皮膚と脂肪を切除し、二重まぶたを作成しています。 同時に目頭切開(内眥形成術)も行っているため、かなり目が大きくなってスッキリした目つきになっています。 |
| 主訴 | 皮膚のたれマブタがあり、黒目が小さくなっています。まぶたが脂肪によって膨れています。 |
|---|---|
| 治療費 | 鹿嶋理事長指名:¥770,000 菊地先生、山名先生指名:¥550,000 指名なし:¥330,000 |
| 治療内容 | 眼瞼下垂手術 |
| 治療のリスク | 術後徐々に傷痕は目立たなくなりますが傷痕が目立ったり、ケロイドになったりすることがあります。 |


| 術前 | 皮膚のたれマブタがあり、まぶたの形状の左右差が出来ています。 |
|---|---|
| 術後 | 左右均等な二重まぶたを作成すると、きれいな目つきになりました。 |
| 主訴 | 皮膚のたれマブタがあり、まぶたの形状の左右差が出来ています。 |
|---|---|
| 治療費 | 鹿嶋理事長指名:¥770,000 菊地先生、山名先生指名:¥550,000 指名なし:¥330,000 |
| 治療内容 | 眼瞼下垂手術 |
| 治療のリスク | 術後徐々に傷痕は目立たなくなりますが傷痕が目立ったり、ケロイドになったりすることがあります。 |


| 術前 | 他院で眼瞼下垂手術(挙筋短縮)を行ったが、まぶたの重さが取れないとのことで来院しました。 黒目は正常に露出していますが、皮膚が余って被ってしまっています。 切開線が細かいシワになってまぶたがガタガタになっています。 |
|---|---|
| 術後 | まぶたの皮膚を適切に切除し、二重まぶたを作成しました。自然な表情になっています。 このようにデザインには多くの経験が必要なのです。 |
| 主訴 | 他院で眼瞼下垂手術(挙筋短縮)を行ったが、まぶたの重さが取れないとのことで来院しました。 黒目は正常に露出していますが、皮膚が余って被ってしまっています。 切開線が細かいシワになってまぶたがガタガタになっています。 |
|---|---|
| 治療費 | 鹿嶋理事長指名:¥770,000 菊地先生、山名先生指名:¥550,000 指名なし:¥330,000 |
| 治療内容 | 眼瞼下垂手術 |
| 治療のリスク | 術後徐々に傷痕は目立たなくなりますが傷痕が目立ったり、ケロイドになったりすることがあります。 |
| 術前 | 皮膚のたるみがあり、目じりにかけてほとんど目が影に隠れてしまっている |
|---|---|
| 術後 | 皮膚のたるみが取れ、目がしっかり開いている。キズはほとんどわからなくなっています。これからさらに綺麗になっていきます。 |
| 主訴 | 皮膚のたるみがあり、目じりにかけてほとんど目が影に隠れてしまっている |
|---|---|
| 治療費 | 鹿嶋理事長指名:¥770,000 菊地先生、山名先生指名:¥550,000 指名なし:¥330,000 |
| 治療内容 | 眼瞼下垂手術 |
| 治療のリスク | 術後徐々に傷痕は目立たなくなりますが傷痕が目立ったり、ケロイドになったりすることがあります。 |
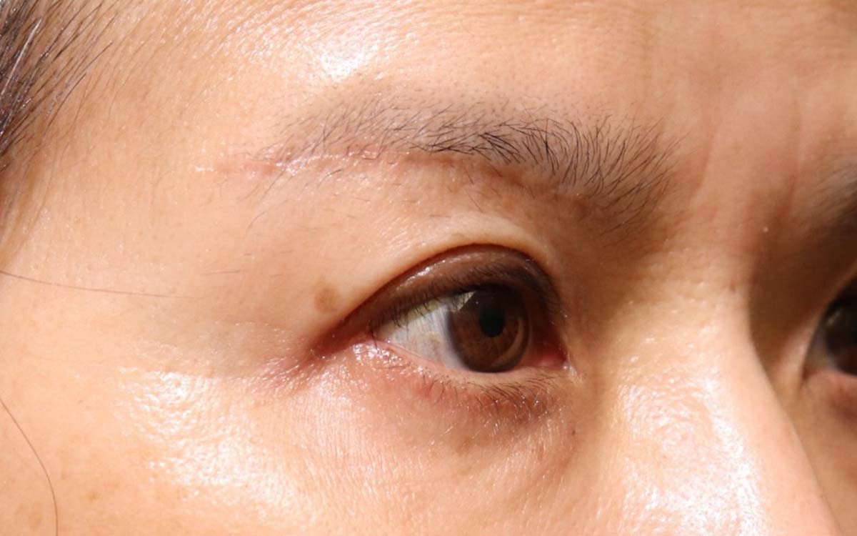
| 術前 | 年齢とともに皮膚がたるんでいるため、中央から目じりにかけてほとんど目が開いていないように見える。 |
|---|---|
| 術後 | 眉毛下で皮膚を切除したため、目を開くことが出来るようになった。3か月目だが傷はほとんど目立ちません。これからさらに綺麗になっていきます。 |
| 術前 |
皮膚弛緩があり、目じりにかけて皮膚のたるみが出ているのが分かります。 まぶたの脂肪もあるので切除の選択肢もありますが、自然な仕上がりを希望され大きく変化することを希望されなかったので眉毛下皮膚切除を選択しました。 |
|---|---|
| 術後 | 目じりにあった皮膚のたるみは取れ、二重幅も広くなっています。眉毛下に出来た傷はほとんどわかりません。これからさらに綺麗になっていきます。 |
| 術前 | 年齢とともに皮膚がたるみ、奥二重のようになっています。 |
|---|---|
| 術後 | 目じりのたるみが取れ、すっきりとした目つきになりました。すでに創部はほとんどわかりません。これからさらに綺麗になっていきます。 |
| 主訴 | ナチュラルにたるみを無くしたい |
|---|---|
| 治療費 | 鹿嶋理事長指名:¥770,000 菊地先生、山名先生指名:¥550,000 指名なし:¥330,000 |
| 治療内容 | 眼瞼下垂手術 |
| 治療のリスク | 術後徐々に傷痕は目立たなくなりますが傷痕が目立ったり、ケロイドになったりすることがあります。 |
| 術前 | 皮膚のたるみがあり、自然と眉の外側が上がっています。 |
|---|---|
| 術後 | 皮膚のたるみが取れたことで、眉の位置が本来の場所に変化しています。目の上の皮膚の量が減少していることがわかります。 |
| 術前 | 皮膚のたるみがあり、眉の外側が上がっていることが分かります。 |
|---|---|
| 術後 |
眉は自然な位置に戻りました。皮膚を引き上げているため目じりのシミの位置が変化しています。 キズはまだ赤いですが今後数か月かけて徐々に消滞していきます。キズは体質により目立たない場合も目立ちやすい場合もあります。 |
| 主訴 | 眉毛が吊り上がっている |
|---|---|
| 治療費 | 鹿嶋理事長指名:¥770,000 菊地先生、山名先生指名:¥550,000 指名なし:¥330,000 |
| 治療内容 | 眼瞼下垂手術 |
| 治療のリスク | 術後徐々に傷痕は目立たなくなりますが傷痕が目立ったり、ケロイドになったりすることがあります。 |
| 術前 | 皮膚のたるみと筋肉のたるみの両方があり、見開きが悪くなっています。眉毛下での皮膚切除と、筋肉の短縮術を行いました。 |
|---|---|
| 術後 | 目はきれいに見開けるようになり、皮膚のたるみも取れています。キズはほとんど目立ちません。 |
| 術前 | 皮膚のたるみと筋肉のたるみの両方があり、見開きが悪くなっています。 |
|---|---|
| 術後 | 目はきれいに見開けるようになり、皮膚のたるみも取れています。キズはほとんど目立ちませんがこれからさらに綺麗になります。 |
| 主訴 | 目つきが眠そうと言われる |
|---|---|
| 治療費 | 鹿嶋理事長指名:¥770,000 菊地先生、山名先生指名:¥550,000 指名なし:¥330,000 |
| 治療内容 | 眼瞼下垂手術 |
| 治療のリスク | 術後徐々に傷痕は目立たなくなりますが傷痕が目立ったり、ケロイドになったりすることがあります。 |
| 術前 |
皮膚のたるみが傘のようになっているため、目がほとんど影に隠れてしまっています。 このように分厚いまぶたの場合に眉毛下皮膚切除が良い適応になります。 |
|---|---|
| 術後 | 皮膚のたるみが取れ、目に光が入るようになりました。キズはほとんど目立ちません。 |
| 術前 | 皮膚のたるみが傘のようになっているため、目がほとんど影に隠れてしまっています。 |
|---|---|
| 術後 | 皮膚のたるみが取れ、目に光が入るようになりました。本来あった二重が露出するようになりました。キズはほとんど目立ちません。 |
| 主訴 | 皮膚がまるで傘のよう |
|---|---|
| 治療費 | 鹿嶋理事長指名:¥770,000 菊地先生、山名先生指名:¥550,000 指名なし:¥330,000 |
| 治療内容 | 眼瞼下垂手術 |
| 治療のリスク | 術後徐々に傷痕は目立たなくなりますが傷痕が目立ったり、ケロイドになったりすることがあります。 |
腱膜性眼瞼下垂への手術は、伸びてしまった腱を若い時の位置に縫い直すことで改善することが出来ます(挙筋短縮術)。
手術と同時に余分な皮膚の切除や、重さの原因となっている脂肪の切除を行うこともあります。
手術時間は重症度に応じて片側10分から30分程度かかりますが、静脈麻酔による鎮静を使い、痛みや時間を感じないように工夫をしています。


| 術前 | 筋肉のたるみによりまぶたが開かない。黒目が小さく、眉毛が上がっているために、おでこのしわが多くなっています。 |
|---|---|
| 術後 | 黒目が大きくなり、眉毛が上がらなくなったため、おでこのしわも無くなっています。(下眼瞼の手術も同時に施行しています) |
| 主訴 | 筋肉のたるみによりまぶたが開かない |
|---|---|
| 治療費 | 鹿嶋理事長指名:¥770,000 菊地先生、山名先生指名:¥550,000 指名なし:¥330,000 |
| 治療内容 | 眼瞼下垂手術 |
| 治療のリスク | 術後徐々に傷痕は目立たなくなりますが傷痕が目立ったり、ケロイドになったりすることがあります。 |


| 術前 | 右のたれマブタ(眼瞼下垂)により、二重幅が非常に広く、眉毛も上がっています。右のみが悪いように見えますが、左も軽度のたれマブタがあるので両側とも同時に手術を行っています。 |
|---|---|
| 術後 | 両側ともたれマブタは改善し、左右差はほぼ解消しました。 |
| 主訴 | 右のたれマブタ(眼瞼下垂)により、二重幅が非常に広く、眉毛も上がっています。 |
|---|---|
| 治療費 | 鹿嶋理事長指名:¥770,000 菊地先生、山名先生指名:¥550,000 指名なし:¥330,000 |
| 治療内容 | 眼瞼下垂手術 |
| 治療のリスク | 術後徐々に傷痕は目立たなくなりますが傷痕が目立ったり、ケロイドになったりすることがあります。 |


| 術前 | たれマブタにより黒目が小さく、二重幅が広く、眉毛が上がって、おでこにシワが出来てしまっています。 |
|---|---|
| 術後 | 黒目が大きくなり、眉毛が下がっておでこのシワが減り、二重幅は自然な状態になっています。 |
| 主訴 | たれマブタにより黒目が小さい |
|---|---|
| 治療費 | 鹿嶋理事長指名:¥770,000 菊地先生、山名先生指名:¥550,000 指名なし:¥330,000 |
| 治療内容 | 眼瞼下垂手術 |
| 治療のリスク | 術後徐々に傷痕は目立たなくなりますが傷痕が目立ったり、ケロイドになったりすることがあります。 |


| 術前 | 筋肉のたれマブタにより黒目が小さくなり、二重の幅が広くなっています。 顔全体にたるみが出ているため、年齢よりも老けて見えてしまっています。 |
|---|---|
| 術後 | たれマブタの手術を行い、その後に顔全体へヒアルロン酸注入を行いました。 全体的にハリとツヤが出て、素敵なお顔になりました。 このように当院では眼瞼下垂に加えて美容注射も行っています。 |
| 主訴 | 顔全体にたるみが出ている |
|---|---|
| 治療費 | 鹿嶋理事長指名:¥770,000 菊地先生、山名先生指名:¥550,000 指名なし:¥330,000 |
| 治療内容 | 眼瞼下垂手術 |
| 治療のリスク | 術後徐々に傷痕は目立たなくなりますが傷痕が目立ったり、ケロイドになったりすることがあります。 |


| 術前 | たれマブタ(眼瞼下垂)により黒目が小さくなり、二重幅が広くなっています。 |
|---|---|
| 術後 | 両側の手術後、左右差は消失し、黒目が正常に開いています。 |
| 主訴 | たれマブタ(眼瞼下垂)により黒目が小さくなり、二重幅が広くなっています。 |
|---|---|
| 治療費 | 鹿嶋理事長指名:¥770,000 菊地先生、山名先生指名:¥550,000 指名なし:¥330,000 |
| 治療内容 | 眼瞼下垂手術 |
| 治療のリスク | 術後徐々に傷痕は目立たなくなりますが傷痕が目立ったり、ケロイドになったりすることがあります。 |


| 術前 | 左右差の大きいたれマブタ。左目のたれマブタが重症であり、二重の幅が左右で大きく異なります。 |
|---|---|
| 術後 | 両側とも同じように手術することで、左右差を軽減することが出来ました。二重の幅も左右でほとんど同じになりました。 |
| 主訴 | 左右差の大きいたれマブタ。左目のたれマブタが重症であり、二重の幅が左右で大きく異なります。 |
|---|---|
| 治療費 | 鹿嶋理事長指名:¥770,000 菊地先生、山名先生指名:¥550,000 指名なし:¥330,000 |
| 治療内容 | 眼瞼下垂手術 |
| 治療のリスク | 術後徐々に傷痕は目立たなくなりますが傷痕が目立ったり、ケロイドになったりすることがあります。 |
| 両眼 | |
| 眼瞼下垂手術 | 鹿嶋理事長指名:¥770,000 山名先生指名:¥550,000 西住先生・末武先生:¥440,000 指名なし:¥330,000 |
上記の金額はすべて税込表示です。
オペ実施の場合、手術代金から自費診察料を差し引きます。
「眼瞼下垂手術における
自費診療と保険診療の違いとは?」を詳しく見る
「片目の眼瞼下垂手術の
費用の目安は?」を詳しく見る
「眼瞼下垂手術における
合併症について」を詳しく見る
「眼瞼下垂について
よくある質問」を詳しく見る
この説明書は、眼瞼下垂(挙筋短縮)手術について説明したものです。
わからないことがありましたら、担当医にお尋ねください。
治療を受けられる場合は「同意書」に署名をお願いいたします。
日本では眼形成の専門医師・専門施設が少なく、治療に対する情報量も少ないのが現状です。
その為多くの場合、病気や事故等によって目の周りの表情が変化した患者さんが自分の症状は治らないものだと思い込んでしまい、元の状態に戻す事を諦めてしまっている事が多いと感じています。
決して諦めないでください。まずは専門医にご相談ください。
「眼瞼下垂の原因と治療法とは?」を詳しく見る
「片目の眼瞼下垂手術の
費用の目安は?」を詳しく見る
「眼瞼下垂手術」を詳しく見る
「眼瞼下垂手術後の
修正手術」を詳しく見る
「眼瞼下垂とは?」を詳しく見る
「眼瞼下垂について
よくある質問」を詳しく見る
「眼瞼下垂になると、
どんな症状が起こるの?」を詳しく見る
「眼瞼下垂の手術は
痛くない?」を詳しく見る
「眼瞼下垂の手術前後の変化は
どのくらいありますか?」を詳しく見る
「眼瞼下垂の術後の通院は
どのくらい必要でしょうか?」を詳しく見る
「眼瞼下垂手術における
合併症について」を詳しく見る
「眼瞼下垂手術における
自費診療と保険診療の違いとは?」を詳しく見る
「眼瞼下垂手術は何時間かかる?
ダウンタイムはある?」を詳しく見る
「眼瞼下垂の
セルフチェックリストと
なりやすい人の特徴」を詳しく見る
「治療費」を詳しく見る
「ドクター紹介」を詳しく見る
「アクセス・医院情報」を詳しく見る
「診療案内」を詳しく見る
患者さんへのご挨拶
これまで10年以上にわたり日米通算1万件以上の手術を行って参りました。 今までに私が培ってきた最先端医療の知識や経験を日本でお困りの患者さんの為に提供していきたいと思っています。
| 2002年 | 群馬大医学部卒 群馬大学 眼科学教室 |
|---|---|
| 2004年 | 伊勢崎市民病院 |
| 2005年 | 群馬大眼科 |
| 2007年-09年 | 聖隷浜松病院 眼形成眼窩外科へ国内留学 |
| 2009年 | 群馬大にて眼形成外来を開設 |
| 2012年 | 学位取得 群馬大学眼科 助教 |
| 2010年-18年 | アジア太平洋眼形成学会理事 |
| 2015年-16年 | カリフォルニア大学 ロサンゼルス校へ留学 |
| 2017年 | 新前橋かしま眼科形成外科 クリニック 開院 |
| 2018年 | オキュロフェイシャルクリニック 東京 開院 |
| 2019年 | The NewYork Times特別企画「Next Era Leaders 2019」選出 |
| 2020年 | アメリカ眼形成学会(ASOPRS)会員 |
| 2009年 | Singapore National Eye Center |
|---|---|
| 2010年 | アジア太平洋眼形成外科学会 北京 Invited Speaker |
| 2011年 | ヨーロッパ眼形成学会 コモ(イタリア) |
| 2012年 |
世界眼科会議 アブダビ Invited Speaker Asia ARVO シンガポール Invited Speaker APAO 釜山 Invited Speaker アメリカ眼科学会 シカゴ Invited Speaker |
| 2013年 | APAO ハイデラバード Invited Speaker アメリカ小児眼科学会 シンガポール Invited Speaker ヨーロッパ眼形成学会 バルセロナ |
| 2014年 | 世界眼科会議 東京 Invited Speaker アジア太平洋眼形成外科学会 デリー アメリカ眼形成学会 シカゴ |
| 2015年 | APAO 広州 Invited Speaker |
| 2016年 | KSAS(Korea Society of Aesthetic Surgery) meeting in Seoul ITEDS(International Thyroid Eye Disease) meeting in London APSOPRS & JSOPRS joint meeting session chair iseminer 甲状腺眼症の手術治療など講演多数。 |
| 2017年 | アメリカ眼科アカデミーinstructor、 韓国眼形成学会invited speaker、 中国眼形成学会invited speaker |
| 2018年 | アジア太平洋国際学会APAO invited speaker |
| 2019年 | アジア太平洋国際学会APAO invited speaker、 ITEDS invited speaker、 OPAIC invited speaker |
| 2021年 | アジア太平洋眼形成学会 invited speaker |
| 2022年 | アジア太平洋国際学会APAO、 ヨーロッパ眼形成学会、 米国眼形成学会 |
| 2023年 | アジア太平洋国際学会APAO、 ヨーロッパ眼形成学会、 米国眼形成学会、タイ眼形成学会、 UCLA解剖実習コース、 ポルトガル解剖実習コース |
外眼部の周術期のケアに
メオアイス
名古屋眼鏡 まぶたやその周囲の手術のあとの”腫れ”や”痛み”を防止する目的で作られた医療用商品です。
責任編集者
超アトラス 眼瞼手術
全日本病院出版 眼科と形成外科のコラボレーションを目指す、意欲的なアトラスが登場! オールカラーの連続写真、詳細なシェーマでわかりやすく解説されています。
責任編集者
ここからスタート! 眼形成手術の基本手技
全日本病院出版 眼形成外科を目指すドクターへの入門書。手術の道具や手技を詳細に解説しています。
甲状腺眼症 ~私が自分の目を取り戻すまで〜
本書はバセドウ病を発症した女性が、治療法に出会い、本来の自分の目と人生を取り戻すまでの軌跡を描いた実話ベースの物語です。病気による見た目の変化に悩む人に「諦めなくていい」「治す選択肢がある」と力強く伝える一冊となっています。
当院は、まぶた、眼窩、涙道に特化した眼形成手術の専門施設です。豊富な経験と専門的な知識をもとに、一人ひとりのお悩みに寄り添い、最適な治療をご提案いたします。
他院で修正することが難しいと判断された方でも、今まで来院されたほとんどの方が治療が可能ですので、まずは一度ご相談いただけたらと思います。
オキュロフェイシャルクリニックグループは、
東京、大阪、京都、千葉、新前橋の5つのクリニックを日本全国に展開する、眼形成外科の専門クリニックです。
私たちは、年間1万件以上の眼形成手術実績を持ち、日本全国No.1の治療実績を誇ります。
各クリニックでは、眼形成外科医が手術を担当し、
他の美容外科では得られない高度な技術と専門性を提供しています。
眼瞼下垂、目の下のたるみやクマ取り、ハムラ法、なみだ目治療、バセドウ病眼症、眼球突出、他院修正手術など、眼と目元に関するあらゆる悩みに対応します。
私たちの眼形成外科医は、自然で美しい仕上がりをお約束し、患者様の満足を第一に考えています。
オキュロフェイシャルクリニックグループでは、
最新の技術と豊富な経験を持つ専門医が皆様をお迎えし、安心して治療を受けていただける環境を整えています。
各クリニックは、それぞれの地域で皆様に質の高い医療を提供することを目指し、日々努力しています。
どうぞ、お近くのクリニックにご相談ください。
オキュロフェイシャルクリニックグループでは、皆さまが「いくつになっても、美しくありたい」という想いを叶えられるよう、一人ひとりに最適な治療を提供しています。また、痛みや不安を取り除くことを第一に考えた治療を行なっておりますので、悩まれている方がいらっしゃったら是非お気軽にご相談ください。
| 診療時間 | 月 | 火 | 水 | 木 | 金 | 土 | 日 |
|---|---|---|---|---|---|---|---|
| 8:15〜17:00 | - | ◯ | ◯ | ◯ | ◯ | ◯ | - |
[休診日]月曜・日曜・祝日
※当院の診療は完全予約制になります。